
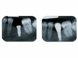
Un implant dentaire est une racine artificielle placée par le chirurgien-dentiste dans l'os alvéolaire de l'un des maxillaires en remplacement de la racine d'une dent extraite et servant de support à une prothèse.
Sa forme est généralement cylindrique ou légèrement conique, ressemblant à une vis, en titane ou en zircone, avec une connexion au niveau supérieur, à l'emplacement de la gencive, pour permettre la pose d'un élément prothétique par vissage ou scellement.
Son diamètre varie entre 3 et 5mm et sa longueur entre 8 et 15mm.
Protocole opératoire
Cette technique sûre et efficace s'appuie sur des données scientifiques avec un recul clinique de plus de 20 ans. La pose d'un implant, réalisée sous anesthésie locale, est totalement indolore. Elle se pratique au cabinet dentaire ou en clinique.
Le choix se fait en fonction de l'emplacement, de la quantité d'os disponible, et des éléments anatomiques environnants à partir d'un examen radiologique et scanner de la zone à implanter.
Une asepsie rigoureuse est importante pour assurer le succès de l'intégration de l'implant.
Le chirurgien-dentiste après une anesthésie locale pratique une incision, puis il décolle la gencive pour accéder à l'os alvéolaire.
Ensuite il prépare l'emplacement de l'implant dans l'os en passant plusieurs forets de diamètre croissant. Le forage de l'os se fait à vitesse maitrisée et lente sous irrigation, pour respecter la structure et éviter tout échauffement de l'os. Le praticien arrête lorsqu'il à obtenu un puit d'un diamètre très légèrement inférieur à l'implant à poser.
L'implant est placé dans l'os le plus souvent par vissage et doit avoir une liaison forte avec l'os. le praticien replace alors la gencive et pose des points de suture.
Il faut attendre après la pose de l'implant, l'ostéo-intégration, qui peut durer plusieurs mois. L'implant va se souder complètement avec l'os et contrairement à la dent il n'y a pas de ligament alvéolo-dentaire.
Pour finir, une prothèse sera mise sur cet implant qui se comportera comme une racine artificielle.